【歯周病・骨粗鬆症】 - 骨粗鬆症早期発見 | 全身疾患との関係 | 骨密度評価 【予防法】 - ブラッシング | セルフチェックシート
歯周病と骨粗鬆症(こつそしょうしょう)は関係があるのをご存知でしょうか?
40歳以上の日本人のなんと8割がかかっていると言われる歯周病。
最近、全身の様々な疾患に悪影響を及ぼしている可能性があることが明らかになってきました。そのひとつに骨粗鬆症があります。骨粗鬆症とは、老化に伴い、骨がもろくなり骨折しやすくなった状態で、知らないうちに忍び寄ってくる「骨の病気」です。
歯周病とは、そもそも骨組織が破壊される「骨の病気」です。歯周病菌に侵されて歯の周りにうみが溜まり、歯を支える骨が溶けて歯が抜け落ちます。歯周病で歯が無くなるのと骨粗鬆症で歯の周りの骨がもろくなるのは、破骨細胞を介するメカニズムが同じであるということがわかったのです。骨粗鬆症の方は歯周病にもなりやすく重症化しやすいため、歯が抜けやすくなります。
歯周病患者は40歳以上で90パーセントの罹患率です。骨粗鬆症患者は加齢とともに増加し、
あごの骨密度は低下します。歯の残存数も減少しています。骨粗鬆症で歯が抜けやすくなるのです。
当医院では、顎骨骨密度評価システムをもちいた、顎骨壊死予防外来を受付ております。骨粗鬆症(骨粗しょう症)の診断受診率を上げることで、寝たきり患者の減少や死亡率の減少を図りたいと考えております。
また、骨粗鬆症(骨粗しょう症)、生活習慣病、続発性骨粗鬆症(骨粗しょう症)の治療薬剤であるビスフォスフォネート製剤(ビスホスホネート製剤)の副作用の予防にも効果を発揮すると考えております。
骨密度(BMD)測定装置
歯周病と骨粗鬆症(骨粗しょう症)との関連性を発見して以来、当院はQUS(定量的超音波塩量測定器)を配備しました。踵骨からデータを読み込み、顎骨と歯槽骨の骨密度を短時間で測定・評価することで、骨粗鬆症(骨粗しょう症)の可能性がチェックできます。
骨密度(BMD)測定装置
検査内容:歯周病基本検査・血液検査・尿検査・レントゲン検査・骨密度評価・骨密度診断・歯周病細菌テスト
高い測定精度・正確性・安全性(被爆線量)・短時間測定・経済効率を実現。レントゲン画像からの下顎骨骨密度の数値化、さらには集積データに基づいた年齢・性別の評価を可能にします。従って、歯周病患者の治療経過に、歯周病患者の早期発見に役立ちます。
続発性骨粗鬆症をきたす基本疾患
続発性骨粗鬆症は、ほかの病気・病変に続いて起こることから名づけられた骨粗鬆症です。ステロイド性・甲状腺機能亢進・ビタミン不足・抗てんかん薬など、骨脆弱化の原因・基礎疾患が明らかな病態のことです。
また、続発性骨粗しょう症では原疾患を治療すると劇的に改善することがあるので、骨粗鬆症診断がいかに大切であるといわれています。
- 骨粗鬆症
-
- 続発性骨粗鬆症
- 原発性骨粗鬆症
- 内分泌・代謝疾患
-
- 糖尿病
- 甲状腺機能亢進症
- 性腺機能不全
- クッシング症候群
- 副甲状腺機能亢進症
- 成長ホルモン欠乏症
- アジソン病
- 薬剤
-
- コルチコステロイド
- メトトレキサート
- シクロホスファミド
- 免疫抑制薬
- ヘパリン
- ワルファリン
- 免疫抑制薬
- 甲状腺ホルモン過剰投与
- 抗痙攣約など
- 多臓器疾患
-
- 炎症性疾患
- 関節リウマチ
- 強直性脊椎炎
- 血液疾患
- 多発性骨髄腫
- リンパ腫
- 肥満細胞腫症
- 血友病
- 消化器疾患
- 胃切除後
- 吸収不良症候群
- 肝疾患
- 原発性胆汁性肝硬変
- 慢性閉塞性黄疸
- 腎疾患
- 慢性腎疾患
- 尿細管アシドーシス
- 炎症性疾患
- その他
-
- 不動性
- 長期臥床
- 宇宙飛行
- 麻痺
- 臓器移植後
- 妊娠/授乳
- 代謝/栄養性
- 壊血病
- 慢性アルコール中毒
- Na過剰摂取
- Ca摂取不足
- アミロイドーシス
- ヘモクロマトーシス
- 不動性
(続発性骨粗鬆症 鈴木康夫)
上記疾患の患者さんは、顎の骨粗鬆症で顎の骨密度も低いことがあります。
顎の骨密度チェック(BoneRightによる)をしましょう。
レントゲン画像から読み解く「骨密度レベル」
"BONE RIGHT"は、当院の院長、日本歯科骨粗鬆研究会副理事長である高石佳知博士が取得した国際特許「下顎骨密度(BMD)評価装置と評価方法」に基づき開発されたレントゲン画像から骨密度の具体的な数値を割り出し、評価する"骨密度評価サポートソフト"です。
ビスフォスフォネート(ビスホスホネート)製剤の副作用による顎骨骨壊死の問題および、歯周病治療の経過に対しても、従来は目視のみでしか確認できなかった骨密度が明確になることで、正しく診察することが可能となりました。 また、インプラント手術の際に、骨量を数値と算出することで正確な診断を行う事も出来ます。
昔から歯は健康の源泉といわれ、歯周病は体全体の病気と関係していると考えられています。
丈夫な歯で食物をしっかり噛まないと、カルシウムやビタミンなどの摂取もむずかしくなります。骨粗鬆症をよく理解している歯科医の指導を受け、正しいブラッシング法を行えば、歯周病の95%は予防できます。
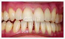
正常な歯肉
引締まったピンクの歯肉で出欠なし
-
歯周病の歯肉
ぷよぷよした歯肉で腫れ、出欠排膿
歯周病レントゲン写真
骨が細く、薄い状態になっています
-
えんぴつを持つように
歯ブラシは、えんぴつを持つようにして軽く持ち、毛先を歯と歯ぐきの境目に当てて、小さく左右に動かし磨きます。
-
毛先を歯の間にあてる
歯と歯の間は毛先を歯間にしっかりと押し当てます。頬側は、口を大きく開けると頬に押され、歯ブラシの毛が寝てしまうので軽く口を閉じ磨きます。
-
歯と歯ぐきの間も忘れず
舌のある側も、歯と歯ぐきの間に毛先を当てて、小さく前後に動かします。
-
前歯の裏側は縦に磨く
前歯の裏側は歯ブラシを縦にして歯ブ
ラシのかかとの部分を使い、1本ずつかき出すようにして磨きます。 -
奥歯もしっかり磨く
奥歯のかみ合わせの部分は、歯ブラシを前後に動かします。
1日3回(食後)、特に就寝前はしっかり磨きましょう。
歯ブラシの毛先が広がるときれいに磨けないので目安として約1~2ヶ月で交換しましょう。
この9項目はいずれも具体的な歯周病の症状です。
- 1硬いものを噛むとき、歯に力が入らない
- 2歯ぐきを指で押すとぶよぶよする
- 3強く噛んだり指で押すと歯が動く
- 4歯が長くなったように見える
- 5歯みがきしているのに口臭がする
- 6歯をみがくと、歯ぐきから出血する
- 7歯並びが変わったように見える
- 8歯みがきしているのに歯肉がネバつく
- 9冷たい水を口に含むと歯がしみる
「歯をみがくと、歯ぐきから出血する」 などは比較的経度。
「歯が長くなったように見える」 のは、明らかに歯ぐきが下がっている証拠。
「歯ぐきを指で押すとぶよぶよする」 に至っては、歯の土台となる骨の喪失が疑われます。
かなり重度の症状かもしれません。




















