【審美歯科って何?】 - 審美歯科の治療例 | なぜ美しく治すのか 【治療の流れ】 - 審美歯科治療・治療の流れ | 先進の技術
審美歯科って何?
歯を美しくし、魅力的な微笑を作り出す治療。それが審美治療です。従来の歯科治療は、虫歯や歯周病を治療し、痛みを取り除き、しっかりと噛むことができるようにすることに主眼が置かれてきました。もちろん、従来の治療においても、できるだけ美しく治そうとしてきましたが、それは今治療している歯、1本1本の美しさを考えているに過ぎませんでした。
これに対して審美歯科治療は、歯全体のバランスや、口元との調和までを考え、トータルで美しさを作り出す新しい歯科治療です。また、美しく治すといっても美容外科ではありませんので、美しさを追求するだけでなく、歯の機能面を優先させたうえで、美しく治るように治療します。
審美歯科治療とは、歯科医学とハイテク技術を結集した総合歯科治療です。
-
ねじれ歯 (入り乱れた歯列を整える)
【施術前】
【施術後】 -
空隙歯 (歯間に隙間があるもの)
【施術前】
【施術後】 -
破折歯 (固物等で欠損した歯を復元させる)
【施術前】
【施術後】 -
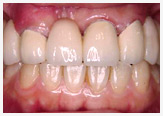
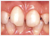
不正咬合 (歯が咬みあわず機能が低下したもの)
【施術前】
【施術後】 -
ホワイトニング (コーヒー等が歯に着色したもの)
【施術前】
【施術後】
いつまでも若々しく、美しく。それが、健康に一生を過ごすために重要なのです。
![]()
-

歯の本来の役割は、食べ物を噛み砕き消化することですが、歯は顔を形作るパーツ、
特に微笑んだ時の印象を大きく左右するパーツでもあります。
微笑みは他人とのコミュミケーションを円滑に行うときに、非常に重要な表情となります。まったく微笑をみせない人に、魅力を感じるでしょうか?また、微笑を見せたとしても、
そのときに見える歯が変色していたり、ガタガタだったりしたときに、魅力を感じるでしょうか?
微笑みの魅力の有無、すなわち歯の美しさは、仕事、就職、結婚にまで、影響を及ぼしかねません。
そこで「魅力的な微笑を作る」審美歯科治療が、必要とされるようになってきました。
歯を美しく治すことで、より笑顔を魅力的にすることが出来るからです。 -

「歯並びの悪さを気にして、微笑むことをためらってきた」
「口元を隠さなければ笑えなかった」と言う方もおられます。こういう人が周囲に与える印象は、どうしても暗いものになってしまいますし、
口元を気にするあまり、本当に暗い性格になってしまうこともあります。審美歯科治療は、
こういった方々のコンプレックスを解消し、精神的負担を取り除くことにより、外見だけでなく、
その人の内面をも美しくすることにもつながります。 -

歯の本来の役割であるものを噛むことを考えても、歯並びが悪かったり、
歯がかけていたりしていれば、十分に噛むことができているとはいえないでしょう。
噛み合わせが悪ければ、消化にも悪影響を及ぼしますし、
やがてあごの骨に問題が出てくることもありえます。審美歯科治療は歯を美しくするだけではなく、より健康な歯を作り出すことにもつながります。
むしろ健康な歯であるからこそ、美しいと言えるのかもしれません。
審美歯科治療は、周囲に与える印象がよくなるだけでなく、
本人の心と体の健康にも素晴らしい効果をもたらす優れた治療といえます。
まず、あなたが、どう変わりたいかをお聞きします。
なたが審美歯科医師と始めに話をされる時、あなたがご自身の微笑みをどう感じ、どのように変えたいと思っているのか、またどのような事を期待しているのかをお尋ねいたします。
それは、あなたがイメージする最も美しいと感じる微笑に近づくために、審美歯科医師が入念にチェックを行うためです。そして、このコミュニケーションが最適な技術の選択を行い、期間や費用を割り出します。微笑みのイメージは十人十色、審美歯科医師はあなたにもっとも相応しい美しい口元をご提供することでしょう。
微笑みエステ
まれに見受けられるのが、審美歯科医師に対して少々緊張されるケース。
初めて体験されることなのでお気持ちは察しますが、もっと肩の力を抜いて、微笑みのエステティックと考えて頂くとよいのではないでしょうか。審美歯科医師は高度な技術と訓練を得た、経験豊かな医師であり、あなたのお悩みを解決するパートナーでもあります。安心してあなたの思いを伝えましょう。
審美歯科治療は歯並びや口もとに関するあなたの悩みを解消する理想の治療法です。
シミュレーション技術 DRIS
理想の微笑が決まったらいよいよ施術?
いいえ、その前にコンピュータグラフィックス(CG)シミュレーション技術による、あなたの施術後を診断いたします。
当院では、最善の治療プランを具体的に行う為、これまでの診断にはなかった技術=「CGシミュレーション」システム、DRIS(Dental Rendering Image System)で"施術後のイメージ"をお見せした上で、"理想の微笑みづくり"に取り組み、ご提供いたします。安心して審美治療に専念していただけます。
心から表現できる笑顔づくり
着色、破折、空隙、ねじれ、不正咬合など様々な事例にたいして最先端素材で的確に治療できる審美歯科治療は、現代人が抱かえる様々なコンプレックスを解消し、精神的にも豊かな人格を形成します。
治療後には見違えるような微笑を携えたあなたに出会えることでしょう。
上顎の前歯の形と調和させることが大事です。













