【レーザー治療】 - レーザーによる治療例 | レーザーとは?
痛みを和らげる治療
今までの歯科治療といえば、「抜く」「削る」「痛い」などといった不快なイメージが強かったのですが、レーザーは、痛みを和らげ、「抜く」「削る」ことを最小限にします。歯グキなどのハレをおさえ、歯周病を治療し、キズの治りを早くするだけでなく、虫歯になりにくくしたり、虫歯になってしまったら必要最小限の除去治療ができるほか、歯を白くするなどの特別な処置にも使われます。
痛みが少なく、安全です。歯周病治療後も、再発する可能性が低い治療のひとつです。
-
虫歯予防と治療
歯のミゾは複雑で深く入り組んでいるためそこにたまってしまった食べカスなどはハブラシだけでは取り除くのはむずかしいものです。レーザーはハブラシが届かないところでも、熱エネルギーで虫歯の原因となる虫歯キンをやっつけます。しかも、レーザーによって歯が強くなり、虫歯になりにくくなるほか、歯を強くするためのフッ素も浸透しやすくなります。 虫歯の程度によってはレーザー治療のみで虫歯の進行を止めたり、除去することもできます。
-
歯周病
歯周病は歯グキから血が出たり口臭がひどくなったりして、そのまま放っておくと歯が抜けてしまうことだってあります。こんな時もレーザーは活躍します。歯と歯グキの間のミゾにレーザーをあてて歯周病キンをやっつけます。レーザーをあてることで歯周病の原因となっている細菌が急激に減り、ウミが自然に出て、出血や痛みがおさまり、治りを早くします。 ブラッシング指導、歯石除去ほかの歯周病治療と併行してレーザー治療を行ないます。
-
知覚過敏
水を飲んだりハブラシをあてると歯がしみるといった症状はありませんか?その原因として知覚過敏が考えられます。これは象牙細管という歯の神経につながる孔(あな)が開いていて神経が刺激されるからです。こんなときレーザーで治療すると歯の表面に薄い膜 ができて孔(あな)をふさぎ、歯の神経を保護するので痛みやしみることを防ぐことができます。
-
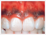
歯グキの黒ずみ
【施術前】
【施術後】メラニンという色素により、歯グキが黒くなることがあります。こんな時もレーザーはこの黒ずみをきわめて短時間で除去します。数日後にはもとのきれいなピンク色の歯グキに生まれ変わります。
-
口内炎
【施術前】
【施術後】お口の中や、唇にできる口内炎や口角炎の痛みは、レーザーですぐ和らぎ、治りも早くなります。入れ歯があたってできる潰瘍(かいよう)にも効果があります。
レーザーは1秒間におよそ1兆回以上も振動するエネルギーの強い光です。その種類は100種類以上あり、あらゆる分野で大活躍しています。レーザーはわたしたちの生活の中でもCD、バーコードリーダーなど身近なところで多く使われています。今やレーザーなしの生活など考えられないほどに使われているのです。
医療分野でも
医療分野でもレーザーは多く使われています。外科・眼科・皮膚科・耳鼻咽喉科・産婦人科など様々な分野で早くから使われています。最近は、レーザー治療がテレビや雑誌などで、「安全で痛みが少なく、副作用の少ない画期的な治療」として紹介されることも多くなりました。
歯科医療におけるレーザー治療
歯科でも様々なレーザー治療器がありますが、当院では炭酸ガスレーザーを使った治療を行っています。
体にやさしいレーザー
レーザーは光のエネルギーが熱エネルギーにかわり、生体の表面に限られるので、周りの組織への影響が少ない安全なもので、歯科治療に最適で体にやさしいレーザーなのです。レーザーは出血させずに悪いところを除去するだけでなく、痛みを和らげたりハレをおさえ、キズの治りを早くする効果もあります。副作用も少なく、妊娠中の方や、高血圧の方、心臓疾患でワーファリンを服用されている方でも、ドクターの適切な診断と治療・指導のもとで、レーザー治療を受けていただくことができます。炭酸ガスレーザーは体にやさしい光なのです。













